KneeReviver©: Gelenkerhaltende Therapie bei Kniearthrose
Mechanische Distraktion – in unserer Praxis mit biologischer Unterstützung
Arthrose im Knie kann Alltag und Beweglichkeit deutlich beeinträchtigen. Viele Betroffene wünschen sich eine Möglichkeit, ihr Knie möglichst lange zu erhalten und dabei wieder mehr Stabilität und Komfort im Alltag zu gewinnen.
Eine sechswöchige Therapie mit dem KneeReviver© ist ein modernes, gelenkerhaltendes Verfahren, das auf einer mechanischen Entlastung des Kniegelenks basiert. Die sogenannte Gelenkdistraktion schafft vorübergehend Raum im Gelenk und setzt gezielte biologische Reparaturprozesse in Gang, die auch bei fortgeschrittener Arthrose zu einer Knorpelregeneration führen können.
In unserer Praxis wird dieses Verfahren mit einer regenerative Zelltherapie (Stammzellen) kombiniert.
Die Behandlung kommt für Patientinnen und Patienten unter 65 Jahren infrage, bei denen keine stark ausgeprägte X- oder O-Bein-Fehlstellung vorliegt.

Moderne gelenkerhaltende Therapieansätze für das Knie
Wie KneeReviver© wirkt – und wann regenerative Zellen ergänzen können
KneeReviver© ist ein seit über zehn Jahren etabliertes, gelenkerhaltendes Verfahren, das ausschließlich mit einem mechanischen Prinzip arbeitet: dem zeitlich begrenzten Auseinanderziehen des Kniegelenks, der sogenannten Gelenkdistraktion.
Das Knie wird für sechs Wochen durch ein externes System stabilisiert und leicht auseinandergezogen, wodurch die Gelenkstrukturen entlastet werden. Dieser Prozess kann, gemeinsam mit der biologischen Stimulation, dazu beitragen, dass das Gelenk wieder besser belastet werden kann.
Ergänzend besteht in unserer Praxis die Möglichkeit, eine regenerative Stammzellentherapie zu kombinieren. Diese Therapieform wird unabhängig vom KneeReviver© betrachtet und dann eingesetzt, wenn sie im individuellen Fall sinnvoll erscheint. Die Zellen stammen aus dem eigenen Körper und können die Regeneration von Knorpelgewebe begünstigen.
Damit bietet KneeReviver© einen strukturierten, gelenkerhaltenden Ansatz, der bei geeigneter Indikation eine interessante Alternative zur klassischen Gelenkersatz darstellen kann.
Wichtig ist immer eine individuelle Einschätzung: Im persönlichen Gespräch klären wir, ob KneeReviver© für Ihre Situation infrage kommt – und in Verbindung mit Zelltherapie sinnvoll ist.
- Mechanische Entlastung: Gelenkdruck wird reduziert und der Knorpel kann sich „regenerieren“
- Biologische Stimulation: Intermittierende Druckänderungen regen die Chondrozytenzur Matrixsynthese an
- Molekulare Signale: Anstieg von Wachstumsfaktoren (FGF-2, TGF-Beta, IGF-1)
- Langzeiteffekt: Initiale Reparaturphase mit anschließender chronischer Stabilisierung

Der Ablauf – KneeReviver© in 5 Schritten
Verständlich erklärt von der ersten Beratung bis zur Rehabilitation
1. Persönliches Beratungsgespräch & Diagnostik
Zu Beginn steht ein ausführliches Gespräch, in dem Ihre Beschwerden und Vorbefunde besprochen werden. Ergänzend erfolgt eine diagnostische Untersuchung, um zu prüfen, ob das Verfahren für Ihre individuelle Situation geeignet ist. Die Diagnostik umfasst eine belastete Röntgen-/DVT Aufnahme und eine aktuelles MRT mit einem Knorpel-Mapping. Diese Untersuchungen können bei uns vor Ort durchgeführt werden.
2. Vorbereitung & operative Anlage des KneeReviver©
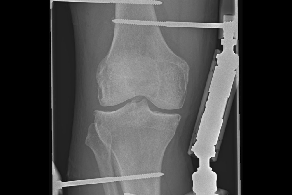
Wenn die Voraussetzungen erfüllt sind, wird der KneeReviver© in einem operativen Eingriff am Oberschenkel- und Unterschenkelknochen fixiert. Der zweitägige stationäre Eingriff erfolgt geplant und unter sicheren medizinischen Bedingungen.
3. Phase der Gelenkdistraktion
Nach der Anlage beginnt die sechswöchige Distraktionsphase. Das Kniegelenk wird mindestens 5 mm auseinander gezogen, wodurch die Gelenkflächen entlastet werden. Der Patient kann das operierte Bein in Streckung vollständig belasten. Auf Grund der Streckstellung erfolgt eine Thromboseprophylaxe. Es erfolgen regelmäßige ärztliche Kontrollen, mindestens nach einer und drei Wochen. Bei Patienten mit weiter Anreise kann eine ärztliche Kontrolle auch vor Ort erfolgen.
4. Entfernung des Systems & Wiederaufnahme der Beweglichkeit
Nach Abschluss der Distraktion wird das Gerät in einem eintägigen stationären Aufenthalt wieder vollständig entfernt. Vor Ort wird eine bildgebende Kontrolle (Röntgen / DVT) durchgeführt, um den Zustand des Kniegelenks zu beurteilen. Im Anschluss beginnt die Phase der schrittweisen Wiedererlangung der Beweglichkeit durch eigenständige Übungen als auch durch begleitende physiotherapeutische Maßnahmen. Der zeitliche Verlauf ist individuell unterschiedlich und beträgt in der Regel etwa sechs bis zwölf Wochen.
5. Rehabilitation & langfristige Stabilisierung
Eine individuell abgestimmte Nachbehandlung unterstützt die weitere Entwicklung des Kniegelenks. Neben dem persönlichen Kontakt werden Patientinnen und Patienten zusätzlich über eine App begleitet, die den Rehabilitationsprozess unterstützt.
Eine Nachkontrolle in unserer Praxis erfolgt spätestens nach einem Jahr. Dabei werden erneute bildgebende Untersuchungen durchgeführt (Röntgen / DVT) sowie eine MRT-Untersuchung mit Knorpelmapping, um den Zustand des Kniegelenks differenziert zu beurteilen.

Warum KneeReviver© in unserer Praxis
Erfahrung und Spezialisierung in der gelenkerhaltenden Therapie
Die Behandlung von Kniearthrose erfordert Erfahrung, Präzision und eine fundierte individuelle Einschätzung. In unserer Praxis verbinden wir mechanische und biologische Ansätze mit besonderer fachlicher Expertise.
Dabei zählen zu den ersten Praxen, die das KneeReviver©-Verfahren mit einer regenerativen Stammzelltherapie kombinieren. Diese Kombination ist kein Standard, sondern wird bewusst und individuell eingesetzt. Die Stammzelltherapie wird unabhängig vom KneeReviver© beurteilt und dann ergänzt, wenn sie im jeweiligen Fall medizinisch sinnvoll erscheint. Die verwendeten Zellen stammen aus dem eigenen Körper und können regenerative Prozesse im Gelenk unterstützen.
Dr. Klingenberg verfügt über eine langjährige Erfahrung in der regenerativen Medizin und hat bis Januar 2026 über 1.700 Stammzellbehandlungen durchgeführt – damit gehört er zu den erfahrensten Anwendern in Deutschland.
Eine weitere Besonderheit unserer Praxis ist das Knorpelmapping, das eine differenzierte Beurteilung des Knorpelzustands ermöglicht und die Therapieplanung deutlich präzisiert. Diese diagnostische Tiefe wird nur von wenigen Einrichtungen angeboten.
- Erhalt des eigenen Kniegelenks: KneeReviver© arbeitet gelenkerhaltend. Das natürliche Knie bleibt bestehen, inklusive der eigenen Koordination, Wahrnehmung und Bewegungsabläufe. Ein künstliches Gelenk fühlt sich dagegen oft anders an und verändert das natürliche Bewegungsgefühl.
- Geeigneter für jüngere, aktive Patientinnen und Patienten: Unter 65 Jahren ist das Risiko erhöht, dass ein künstliches Kniegelenk durch hohe Aktivität schneller verschleißt. Da KneeReviver© ohne Implantat auskommt, besteht hier kein Risiko für Materialversagen.
- Vermeidung von Revisionseingriffen: Ein eingesetztes Implantat kann später ausgetauscht werden müssen. Diese Revisionen erzielen in der Regel weniger gute funktionelle Ergebnisse als der Ersteingriff. KneeReviver© erspart diese Problematik, da kein künstliches Material eingebracht wird.
- Mehr Flexibilität für die Zukunft: Entschließt man sich später doch für einen Gelenkersatz, ist dies weiterhin möglich. KneeReviver© schränkt zukünftige Behandlungsoptionen nicht ein. Bei einer Prothese hingegen entfallen alle gelenkerhaltenden Therapien dauerhaft.
- Aktivitätsniveau und Alltag: Da das eigene Gelenk erhalten bleibt, berichten viele Patientinnen und Patienten von einem natürlicheren Körpergefühl und einer guten Integration in den Alltag. Ein künstliches Knie ermöglicht zwar Aktivität, kann aber in manchen Fällen Grenzen setzen.
Diese Punkte machen KneeReviver© besonders für Menschen attraktiv, die ihr Kniegelenk möglichst lange erhalten möchten und gleichzeitig Wert auf langfristige Beweglichkeit und Flexibilität in der Therapieplanung legen.

FAQ zu KneeReviver©
Häufige Fragen und Antworten
Zur Studie: https://arthrosave.com/science/?lang=de#Jansen-2022
Bei sorgfältiger Indikationsstellung und ärztlicher Begleitung ist es eine medizinisch fundierte Alternative zur Prothese – besonders für jüngere oder aktive Patienten.
Zur Studie: https://arthrosave.com/science/?lang=de#Jansen-2022
Dennoch hängt der langfristige Erfolg stark von individuellen Faktoren ab – z. B. Alter, Belastung, Zustand des Gelenks und Nachbehandlung.
Auf Wunsch besteht die Möglichkeit eines gezielten, betreuten Trainings vor Ort, das individuell abgestimmt wird.
Ihr nächster Schritt – persönliche Beratung zu KneeReviver©
Die Kniegelenksdistraktion gilt als moderner, gelenkerhaltender Ansatz bei fortgeschrittener Kniearthrose. Für jüngere Patientinnen und Patienten kann sie eine wissenschaftlich untersuchte Alternative zur frühzeitigen Knieprothese darstellen und den Gelenkersatz über Jahre hinauszögern.
Langzeitdaten mit Nachbeobachtungen von bis zu zehn Jahren zeigen, dass die beobachteten regenerativen Effekte dauerhafter sein können als bislang angenommen. Wenn Sie mehr über KneeReviver© in Bezug auf Ihre individuelle Situation erfahren möchten, dann beraten wir Sie gerne in einem persönlichen Gespräch.
Vereinbaren Sie Ihren Termin und lassen Sie sich individuell begleiten – transparent, verständlich und auf Ihre Bedürfnisse abgestimmt.











